our services

X-Ray

X-Ray Room at Vidhan Diagnostic Centre

Advanced X-Ray Imaging

At Vidhan Diagnostic Centre, Jaipur, we provide state-of-the-art digital X-Ray imaging ensuring precision, safety, and fast results. Our team of experts uses the latest technology to produce clear and detailed images for accurate diagnosis.

  • High-quality digital imaging
  • Low radiation exposure
  • Same-day reporting
Book X-Ray Contact Us

Types of X-Rays We Offer

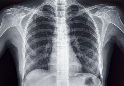
Chest X-Ray
Chest & Abdomen X-Ray

For detecting chest infections, pneumonia, and abdominal obstructions.

Bone X-Ray
Bone & Joint X-Ray

Used to detect fractures, arthritis, and bone infections efficiently.

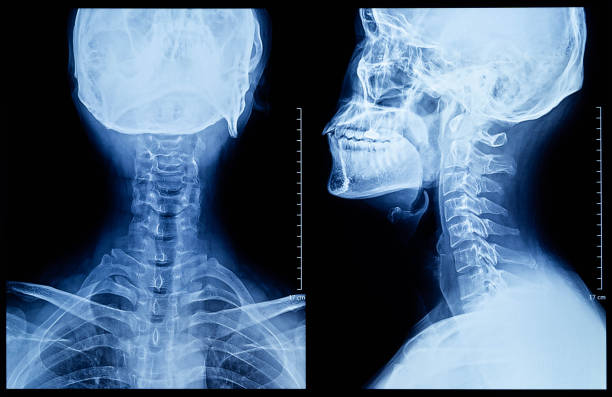
Spine X-Ray
Spine & Neck X-Ray

Assists in detecting posture issues, spinal injuries, and disc problems.

Why Choose Vidhan Diagnostic Centre?

  • Modern, high-speed digital X-Ray machines
  • Quick report turnaround time
  • Safe and hygienic environment
  • Affordable & patient-friendly services

Note: Please inform the technician if you are pregnant before the X-ray procedure.

Doctor viewing X-Ray

Need an X-Ray Today?

Walk in or book your appointment for quick diagnosis and same-day report.

📞 Call Now Book Appointment
Whatsapp
Call Now
Location